【喜讯】我院荣获南昌市“我秀我健康”脱口
4月29日,在南昌市卫健委主办的南昌市“...
【严守安全防线】南昌经开区人民医院开展“
为切实做好“五一”假期期间医院安全生产工...
【传承五四薪火 展现青春担当】南昌经开区
青春正好,灼灼其光。为传承五四精神,践行...
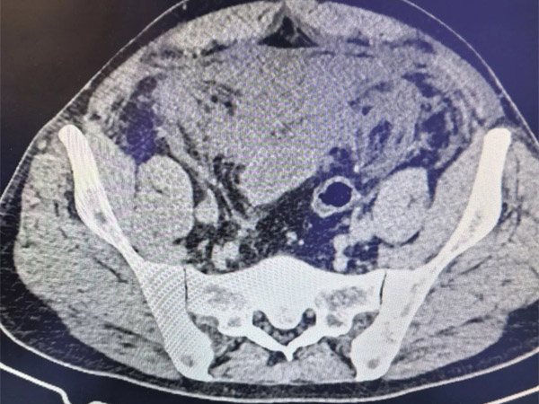
【医讯】与时间赛跑——我院成功实施腹腔镜
一场突如其来的意外,一次惊心动魄的救援。...
【健康之约】我院赴经开区南天金源社区开展
迟日江山丽,春风花草香。在这草长莺飞美好...
【送医进企业 健康沁人心】我院前往南昌欣
送医进企春风拂面,沁人心脾。4月8日上午...
【优质护理服务】用心传情八旬老人,做有温
春日的阳光斜斜洒进外科病房的走廊,83岁...
【潮涌扬帆正当时 同心筑梦启新程】南昌经
春意盎然,万象更新。4月1日,南昌经开区...
【医讯】南昌市疾控中心到我院调研指导实验
为进一步加强公共卫生体系建设,提升我院实...
【杏林春暖送锦旗 医患同心续佳话】跨越三
春日的阳光透过玻璃窗,为骨科病房镀上一层...
扫描二维码了解更多详情
版权所有©南昌经济技术开发区人民医院(江西省中西医结合医院经开医院) 备案号:赣ICP备2022008450号-1
导诊电话:0791-86391635(工作日) 急诊电话:0791-83820036(24小时) 地址:南昌经开区双港西大街189号 技术支持:![]()